郑州类风湿医院哪家好?类风湿关节炎的症状有哪些
来源:郑州痛风风湿病医院
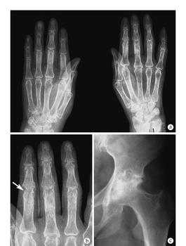
类风湿关节炎我们人人都晓得但不是人人都了解的,如果在病人在不晓得状况下发病的话,而且身体外在的表现很显着,那就是我们会常常称为急性类风湿关节炎。假设患上急性的风湿疾病而且不能够及时治疗的话,会给病人们带来无法估计的身体影响。为了我们能够非常好的晓得急性类风湿关节炎的表现,活跃协作治疗。下面请骨科专家为我们盘点急性类风湿关节炎的表现,希望对病人们有一定的帮忙。
盘点类风湿关节炎的表现:
1.在该疾病发病的前1-3周,许多病人都会呈现缓慢咽炎或者呼吸脆弱的、舌淡发黄的状况,而且伴有发热、乏力、出汗、面色苍白、烦躁等。
2.多处关节呈现并发症,首要是以大关节为首要表现,有些有些会呈现红热、肿胀、痛苦的显着的特征。炎症消退后关节正。还可能会有心脏炎等风湿热的其他表现。
3.患有急性类风湿关节炎的病人有伴有突发疾病的病症,并有半数风湿病人在发病前1-3周有咽峡炎、扁桃体炎等上呼吸道感染史。急性类风湿关节炎的表现多见表现有身体无力、脾气暴躁、身体发热、胃口失调、出汗较多、心跳平率纷歧等等失常的状况。
郑州痛风风湿病医院杜爱华专家提示患者朋友们:通过以上的介绍,希望对病人有所帮忙。该疾病对人体的伤害很大,所以当发现患病后,病人们较好要选择专业的医院及时接受治疗,而且根据自身的表现来选择药物是较好的,不能够自个去盲目的用药,防止给自个带来严峻的影响和损害。
盘点类风湿关节炎的表现:
1.在该疾病发病的前1-3周,许多病人都会呈现缓慢咽炎或者呼吸脆弱的、舌淡发黄的状况,而且伴有发热、乏力、出汗、面色苍白、烦躁等。
2.多处关节呈现并发症,首要是以大关节为首要表现,有些有些会呈现红热、肿胀、痛苦的显着的特征。炎症消退后关节正。还可能会有心脏炎等风湿热的其他表现。
3.患有急性类风湿关节炎的病人有伴有突发疾病的病症,并有半数风湿病人在发病前1-3周有咽峡炎、扁桃体炎等上呼吸道感染史。急性类风湿关节炎的表现多见表现有身体无力、脾气暴躁、身体发热、胃口失调、出汗较多、心跳平率纷歧等等失常的状况。
郑州痛风风湿病医院杜爱华专家提示患者朋友们:通过以上的介绍,希望对病人有所帮忙。该疾病对人体的伤害很大,所以当发现患病后,病人们较好要选择专业的医院及时接受治疗,而且根据自身的表现来选择药物是较好的,不能够自个去盲目的用药,防止给自个带来严峻的影响和损害。
文章部分文字、图片、数据、视频等内容信息来源于互联网,版权归原作者所有,如有侵权请立即联系删除。
上一篇:濮阳类风湿医院:类风湿病的早期症状 下一篇:风湿性关节炎表现的症状

