肌骨超声技术临床应用
肌骨超声(musculoskeletal ultrasound,MSUS)技术是通过高频超声(3~17Hz)扫描提供优异的临床图像,以清晰显示肌肉等软组织层次关系及其内部机构来诊断肌肉骨骼系统疾病的新型超声检查技术。通过肌骨超声,医生可以分辨毫米级以下动态的这些组织结构肌肉、肌腱、韧带、关节囊、关节面及周围神经等浅表软的毗邻关系、形态大小、结构纹理、血流分布,从而获取这些组织器官的解剖变异、炎症、退行性病以及创伤等病变的全方位信息,从而对疾病进行精准评估
肌骨超声在痛风性关节炎上临床应用:
痛风是嘌呤代谢紊乱及(或)尿酸排泄减少引起的一种晶体性关节炎,该病发病缘于尿酸盐沉积于关节囊、滑囊、软骨、骨质及其他组织中引起的炎性反应和病损。当尿酸盐沉积导致关节及周围软组织受累时,则引起痛风性关节炎炎症反应,反复发作则造成关节畸形。

痛风的诊断主要依赖于典型的临床表现以及关节滑液或关节腔中发现尿酸盐结晶,但由于痛风病程早期症状的非特异性和临床表现的多样化,极其容易造成早期漏诊、误诊,仍然有一部分痛风患者面临病情被延误治疗的困境。因此,早期诊断、早期治疗可控制痛风患者关节疼痛症状及关节损伤程度,显著改善预后。

近年来,国内外研究指出,痛风性关节炎在肌骨超声检查上有自身特有的敏感性和特异性。随着在痛风诊断应用中的不断探索与成熟,肌骨超声逐渐体现出其在辅助痛风早期诊断、监测炎症程度和进展以及评价治疗效果等方面具备显著优势。
肌骨超声技术诊断痛风评判标准:
肌骨超声通过高频线阵探头对各关节进行检查,观测每个病变关节是否存在滑膜增生、滑膜周围血流情况、软组织肿胀/损伤尿酸盐沉积、滑囊骨化、痛风石以及骨侵蚀等超声表现,做到早期对疾病的定性评估以及对痛风病情进展程度的精准判定。
一、定性检测滑膜、积液形态、血流信号 评判关节炎性进展
肌骨超声可检测到受累关节表现为不同程度的关节腔积液及滑膜增生。通过观察关节腔内积液是否为漂浮点状强回声来区别于其他关节炎,判定是否为痛风;通过观测关节内滑膜增厚情况,关节腔内壁是否不光滑,有无呈层状、绒毛状或结节样低回声实性突起以及滑膜上不同形态血流区分炎症为急性或慢性炎症,评判炎性反应进展程度。
超声对痛风关节积液形态有超强的敏感性

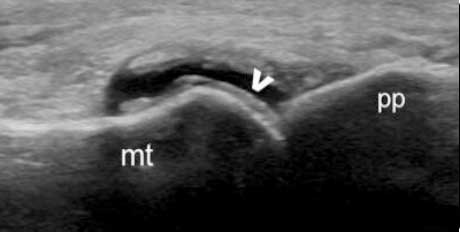
二、清晰显示软骨表面尿酸盐结晶沉积状况 判断痛风所属病期
肌骨超声可通过高清影像图判定软骨表面有无出现一条与强回声骨皮质平行的线样强回声,即“双轨征”这一痛风性关节炎特征性表现,判定疾病所属。当尿酸盐粘附并沉积于漂浮的滑膜上时,超声检查可在关节腔内发现漂浮的高亮回声;而当尿酸盐长期沉积于韧带上时,在超声中即显示条带状的略高回声(韧带)中出现高回声点、高回声带或高回声团块(尿酸盐),从而判断痛风病情处于哪一时期。
超声探测结晶呈“双轨征”特性形态

三、准确检测不同形态痛风石 提供精准治疗临床依据
超声图像中出现的以高回声为主的高低回声混杂的团块即为痛风石,一般表现为高回声、不均质、界限不清楚、边缘可见液性暗区,可伴有声影。超声通过对痛风患者皮下组织、软骨、滑囊、韧带等不同部位痛风石的不同表现形式(滑膜结节厚度、强回声团状数量、回声是否伴声影)的清晰观察,能对痛风石进行区分(软性痛风石或硬性痛风石),帮助制定患者的个体化、针对性治疗方案。
超声发现不同形态痛风石,对痛风石定性

四、早期发现软组织改变、评定骨质侵蚀受损层级
在痛风初始阶段,肌骨超声就可清晰的发现患病关节周围软组织团状稍高或强回声、不规则形变薄、内部血流增多以及邻近骨皮质回声毛糙不平滑、连续性中断或缺损情况,判断软组织受损程度。对于慢性痛风的超声检查,在痛风石旁可发现骨皮质不连续、骨表面常呈虫蚀样缺损或骨赘形成,从而评定痛风病程长短及对骨质造成的不同层级的损害。
超声对软骨改变、骨质侵蚀精确评分

近期有研究对肌骨超声技术早期发现关节内外形态变化确诊痛风性关节炎进行了评价,该技术以其在痛风图像上的特异性表征“双轨征”,显著优于其他影像学检查。肌骨超声影像以超高的分辨率,清晰显示沉积在关节内及周围软组织中的尿酸盐结晶、痛风石及继发的滑膜炎和骨侵蚀等改变,已被认为是风湿科医生临床诊断痛风的另一只眼睛,成为风湿科医生不可或缺的工具。
肌骨超声检测痛风性关节炎五大优势:
1、实时动态精准影像。高频超声通过轻微被动或主动关节活动的动态检查定位关节囊,以高分辨率显像清晰显示关节病变,早期即可精确反映病情。2、无创无痛、操作安全便捷。MSUS无明确禁忌症,无放射性损伤,检查无创无痛苦,实现了安全便捷操作,可以在床旁、手术室、急诊室实时动态检测,检查时可同时进行医患之间的互动与交流,极大的提高了对治疗的全方位实时治疗情况跟踪,易于 。3、可视化检查。高性能探头发射超声波束并接收散射的回波,组织增强成像和XView算法处理等最新成像技术,提供优异的高分辨率影像。全程处于“可视化”操作状态下,对患者病情做出准确评估,同时对处于 过程中的患者也能进行实时 的监测。4、实现多关节部位同步检查。MSUS可一次对多个关节进行检查,能迅速获得结果,对于多关节病变省时而高效;而且MSUS易于双侧关节对比检查,便于发现某些细微的病变。
文章部分文字、图片、数据、视频等内容信息来源于互联网,版权归原作者所有,如有侵权请立即联系删除。
上一篇:没有了 下一篇:郑州痛风风湿病医院药离子渗透技术
