治好风湿性关节炎,笑面人生
该患者朋友相关情况,由杜爱华主任的助理跟踪记录,内容属实
任何同行与机构未经本人同意,不得转载
===========================================================================
【基本信息】
患者姓名:刘先生
年龄:35岁
病史:1年
所患疾病:风湿性关节炎
主治医生:杜爱华主任
【病情概述】
刘先生因居住潮湿造成多关节痛,尤其是膝关节,麻木疼痛,翻身困难,关节疼痛不敢用手碰,后来在医院被确诊为风湿性关节炎,同时也进行进一步地治疗,但是病症一直没有完全消失。一年前,刘先生病情进一步加重,全身关节疼痛、僵硬,膝关节严重畸形,生活不能自理,无法正常行走,每天只能坐轮椅出入。由于病情加重,来到我院接受治疗。

(图:刘先生治疗前的情形)
【来院检查】
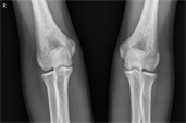
来到医院后,杜爱华主任为刘先生进行系统规范的检查,检查报告显示刘先生C-反应蛋白26.15mg/L,血沉49mm/L,血小板450×109/L,抗CCP抗体150RU/ml(正常参考值〈12RU/ml)。而且刘先生的膝关节开始肿胀,关节间隙狭窄,关节面边缘模糊不清,遭受到严重的破坏,凹凸不平或囊状透亮区,肘关节、膝关节肿胀,膝关节伸不直,脚踝关节活动受限。
了解到刘先生的病症之后杜爱华主任对其采用先进的净骨疗法体系进行检查并对症治疗。

【治疗情况】
治疗后第一次复查,刘先生膝关节部位疼痛症状基本消失。膝盖处的红肿的现象也是慢慢的消退下去,
第二次复查显示C-反应蛋白竟然已经降到4.69mg/L,血沉也下降到14mm/h,刘先生的膝盖处疼痛完全消失,活动也恢复正常。
文章部分文字、图片、数据、视频等内容信息来源于互联网,版权归原作者所有,如有侵权请立即联系删除。
上一篇:温情服务感化患者,多年风湿终康复 下一篇:康复风湿性关节炎 退役军人安度晚年
