鱼塘老板深受风湿折磨多年
该患者朋友相关情况,由杜爱华主任的助理跟踪记录,内容属实
任何同行与机构未经本人同意,不得转载
======================================================================
【基本信息】
患者姓名:李先生
年龄:37岁
病史:4年
所患疾病:风湿性关节炎
主治医生:杜爱华主任
【病情概述】
开始时李先生膝关节出现红肿,周围皮肤温热、潮红,稍有活动就会引起疼痛,当进行休息时,疼痛感会有所缓解或消失。李先生忙于照看鱼塘,就没有太在意。之后,病情加重,李先生的膝关节肿大明显,夜间疼痛加剧,经常睡不着觉。晨起时膝关节僵硬,持续约一个小时,经活动后缓解。李先生每天被疼痛折磨,后来去附近诊所检查,被告知得了风湿性关节炎,医生给开了些消炎止疼药,服用后病情有所缓解。半年后,病情不但未好转,反而复发,且膝关节有轻微变形,最后来到我院接受治疗。
【来院检查】
杜爱华主任按照惯例询问李先生的病情,观察其膝关节肿大明显,有轻微变形,按压有痛感,活动受限,凭借多年丰富临床经验,初步诊断李先生得了风湿性关节炎。为了进一步确诊病情,制定适宜的诊疗方案,王主任对李先生进行详细的实验室检查。

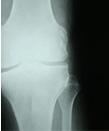
(图:X线下李先生膝关节示意图)
检查结果显示,李先生C-反应蛋白43.15mg/L,血沉120mm/L,RF和ANA均为阴性。膝关节遭受到严重的破坏,关节面边缘模糊不清,凹凸不平或囊状透亮区。
综合检查结果,李先生被确诊为风湿性关节炎。鉴于李先生的风湿性关节炎已到中晚期,杜爱华主任制定了详细的治疗计划为其治疗。
【治疗情况】
患者自述第一次治疗后关节疼痛明显减轻。

(图:第一次治疗后,李先生膝关节红肿消失)
两个疗程治疗结束后,李先生来院复诊,王主任为其做了详细的检查,其C-反应蛋白25mg/L,血沉69.15mm/L,关节肿胀消失。
最后经过一次巩固治疗后,李先生的风湿性关节炎完全 ,临床数据显示已经达到 水平。
文章部分文字、图片、数据、视频等内容信息来源于互联网,版权归原作者所有,如有侵权请立即联系删除。
上一篇:勤劳妇人的风湿性关节炎康复之路 下一篇:风湿患者来我院康复后回归幸福美满家庭
