16岁少年患强直来我院治疗后康复
该患者朋友相关情况,由杜爱华主任的助理跟踪记录,内容属实
任何同行与机构未经本人同意,不得转载
=====================================================================================
【基本信息】
患者姓名:张先生
年龄:16岁
病史:2年
所患疾病:强直性脊柱炎
主治医生:杜爱华主任
【病情概述】
张先生因没日没夜的打游戏,长期保持不正确的坐姿患上强直性脊柱炎,此后肩膀处疼痛难忍,手指僵硬,胯关节处开始疼痛,坐都不能坐了,走路受到限制。长久延误治疗后导致脊柱已有轻微的变形,经药物治疗后病情反复复发,最后在家人的陪伴下来到我院接受治疗。

(图:张先生初到院时脊柱变形情况)
【检查治疗】
来院后,主任为他进行了更为详细的检查后,确定了强直性脊柱炎的病情,主任随即为他制定了详细的治疗方案。
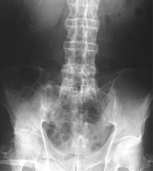
新新在三个疗程的治疗结束后,关节疼痛感减轻,腰背部活动正常,日常的生活也已经恢复正常。

(图:治疗结束时张先生脊柱x图显示强直性脊柱炎已 )
文章部分文字、图片、数据、视频等内容信息来源于互联网,版权归原作者所有,如有侵权请立即联系删除。
上一篇:幸遇郑州痛风风湿病医院中医(风湿)科名医,治好多年强直 下一篇:艰辛人生路,为子奔波治强直
