终于在郑州痛风风湿病医院中医(风湿)科摆脱痛风两年致命疼痛
该患者朋友相关情况,由杜爱华主任的助理跟踪记录,内容属实
任何同行与机构未经本人同意,不得转载
=====================================================================================
【基本信息】
患者姓名:鲁先生
年龄:48岁
病史:2年
所患疾病:痛风
主治医生:杜爱华主任
【病情概述】

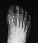
(图:治疗前鲁先生的x光图,可明显看出拇指关节肿大、外翻)
去年夏天,鲁先生发现以前穿的凉鞋,现在都穿不上,而且睡到半夜脚趾就像很多蚂蚁在啃似的。相继几日,疼痛的特别厉害,最后连走路都困难。在当地某医院被诊断为“痛风”,当地医院就安排经过理疗后,疼痛虽有缓解,但常又复发。后又经多番治疗无效后来到我院风湿专病科室接受专业治疗。
【检查情况】
接待他们的是我院风湿专病科室主任杜爱华,王主任首先为鲁先生做了全面的检查。检查结果如下:
查体:面红,颇行,左足背及拇指红、肿、压痛、功能受限。舌质红,苔黄腻,脉弦滑数。
化验:血沉:80㎜/h,血尿酸:720 umol/L。
X线示:左足跖骨骨头处出现溶骨性缺损。
此时的鲁先生病情已经很严重属于痛风晚期,经过医生们商讨,制定了适合他病情的治疗方案。

(图:经过治疗后鲁先生的脚部症状已基本 )
【治疗情况】
经过一个疗程的治疗后,鲁先生立马感觉疼痛减轻了不少,鲁先生感到前所未有的松快。
经过第二个疗程后,在家人的陪伴下鲁先生当晚就可以站着走路回家。
最后巩固治疗一个疗程后,鲁先生脚趾完全 并且没有再复发过
文章部分文字、图片、数据、视频等内容信息来源于互联网,版权归原作者所有,如有侵权请立即联系删除。
上一篇:治好痛风女强人终悟人生真谛 下一篇:受痛风袭击后到郑州痛风风湿病医院中医(风湿)科治愈
