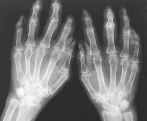
简介中医治疗风湿病的几种方式
在骨科临床疾病当中,风湿病是比较常见的一种,对患者的危害大,治疗也比较困难。而且在近几年来,风湿病的发病人群也在不断的加大,给很多患者的生活都带来了影响。风湿病的治疗方法很多,中西医都有比较 的治疗这种疾病的方法,而中医一般采用针灸、推拿、药浴、中药等方法调整患者脏腑气血功能,增加人体抵抗力。下面就请郑州痛风风湿病医院专家来为大家简介中医治疗风湿病的几种方式,希望能够帮助风湿病患者们更快的 。

简介中医治疗风湿病的几种方式
简介中医治疗风湿病的几种方式:
1、推拿疗法:按摩的作用,首先是通经络,畅气血,而具有消癖、行滞、散肿、止痛的功效,并有增进局部营养、防止肌肉萎缩废用、促进疤痕变软和修复损伤的作用;其次,推拿疗法还可调补气血,固本复元。推拿疗法即按摩疗法,是采用按摩法刺激患者体表的一定部位,运动患者的肢体进行治病的一种疗法。因此,本疗法的适应范围相对广泛,既可外用于肌肉、筋骨、关节之损伤和痹、痞、瘫、痉、痛、麻木诸证,又可内调脏腑、气血、阴阳之虚实,进而治疗脏腑功能失调引起的各种病证。
2、针灸治疗:山西晋康风湿病医院专家说,在中医发展的过程中,针灸治疗风湿性疾病,已有上千年的历史。针灸治疗痹病是根据疾病的具体情况,采用不同的针具、艾灸和现代的光、电、磁、药物等刺激源对一定脑穴的刺激,通过经络的传输传导作用,激发经气,调整脏腑气血的功能,调动人体内在的抗病能力,从而达到“扶正祛邪”、防治疾病的目的。>>>您现在病情是什么症状?点击免费咨询专家
3、中药治疗:中医药物治疗风湿病是专家们推荐的方式,因为风湿病的 周期较长,而且患有风湿病的大多为身体较弱的人群,使用中药不会给患者带来刺激和伤害,并且也能够对症治疗。由山西晋康风湿病医院专家郭来旺自主研发的旺龙蚂蚁丸就是治疗风湿病的较好药物。该药使用纯中药制剂研发而成,并且君药是蚂蚁中的极品棕褐沙林蚁,可以起到活血化瘀,消肿去痛,除湿散寒的作用,对风湿病的 非常 。并且在治疗了将近三十年的时间里, 了上万例的风湿病患者,受到了大家的认可和好评。推荐阅读:患风湿病会有哪些症状,伴随着什么危害
以上就是关于简介中医治疗风湿病的几种方式的详细介绍,大家看了也有一定了解了吧?郑州痛风风湿病医院专家说,中医治疗风湿病的方法能够辅助患者治疗,缓解患者痛苦。患者一定要去专业正规的中医院进行治疗,避免出现一些不良后果。
文章部分文字、图片、数据、视频等内容信息来源于互联网,版权归原作者所有,如有侵权请立即联系删除。
上一篇:治疗风湿病的5种方法 下一篇:夏季是治疗风湿病的好时机
